
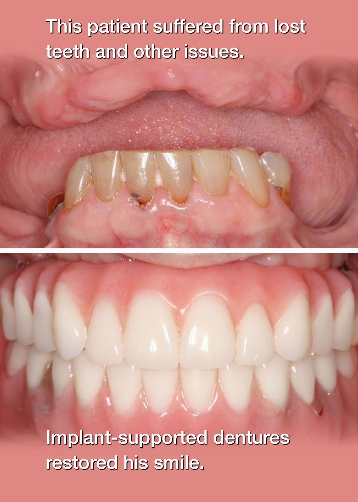
Implant-Supported Dentures
Missing most or all of your teeth makes eating, speaking, and smiling with confidence incredibly difficult.
Implant-supported dentures are anchored directly to the jawbone so you can eat any foods you want, speak clearly, and feel proud to smile.
So what makes implant-supported dentures so great?

Experience a Better Quality of Life with Implant-Supported Dentures
Stabilize your restoration.
Unlike traditional dentures, implant-supported dentures will not slip out of place because the implants anchor them directly to the jawbone.
Speak clearly and chew efficiently.
Traditional dentures make enunciation difficult and limit you to foods that are soft or cut into small pieces. Implant-supported dentures let you speak clearly and enjoy all foods.
Prevent jawbone recession.
Jawbone recession follows tooth loss. Implant-supported dentures are artificial tooth roots that continuously provide the stimulation necessary to stop bone recession.
There is Hope After Tooth Loss

More than 36 million Americans are missing all of their teeth. However, there is a reported 95.5% success rate among those who have chosen to rebuild their smiles with dental implants.*
*According to a study by den Hartog L, Slater JJ, Vissink A, Meijer HJ, Raghoebar GM. (2008)
Aren't traditional dentures more affordable?
The cost of dentures varies greatly. Traditional dentures can cost from $300 to $5,000. Meanwhile, traditional dentures require ongoing maintenance to accommodate changes in the jaw due to bone recession, and remain prone to uncomfortable shifting. Implant-supported dentures cost more, but for most patients, the benefits justify the added expense. Implant-supported dentures require an additional average cost of about $1,600 to $2,200 per implant. However, they may never need adjustments and will provide far better comfort and functionality.

Receiving implant-supported dentures typically requires two phases.
Phase One
Your doctor will perform any necessary extractions or bone grafting. These may require a healing period before receiving implants.
Your dental implants will be surgically placed in the jaw. Typically, it will take about three to six months for the implants to become integrated.
Phase Two
The doctor will take impressions of your bite. These will be sent out to a lab to create your custom dentures.
Your doctor will attach your denture to your implants, and you can immediately begin experiencing the benefits of a fully restored smile.
At this time, the doctor can also address any issues with comfort or fit to provide you with the best possible results.
Stop suffering. Start smiling.
Your smile is one of your most valuable assets, and proper dental function plays an essential role in virtually every aspect of your life, from your health to your self-esteem. If you are missing most or all of your teeth, speak to a dentist about your candidacy for dental implants. While the cost of an implant-supported denture can be significant, many dentists offer financing that can make this solution affordable on most budgets.
It is time to stop suffering because of missing teeth or a denture that restores only a fraction of your ability to chew and speak. Schedule a consultation with a dentist today to discover how an implant-supported denture can help you start enjoying life to the fullest.





